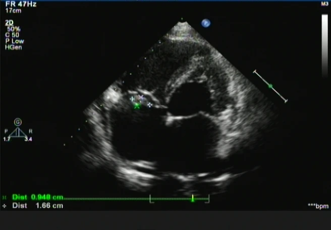
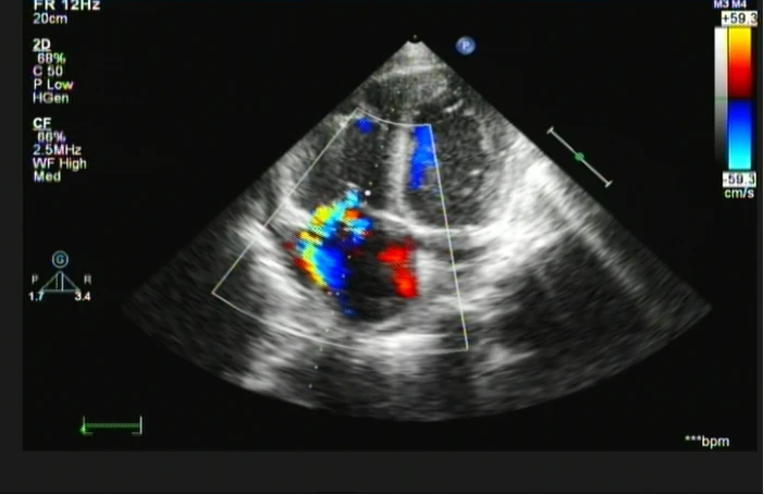
这天上午,超声心动图室来了一位24岁的年轻患者,主诉既往体健康但胸闷半月余,我看着体型微胖的小伙,心中暗忖“会不会是精神压力过大而导致的短时间身体不适感呢?”,一套常规流程下来,我的初步印象:双房增大,双室轻大;右房中等回声团,占位?(图1)三尖瓣中量偏心性花色湍流(图2)。

图1 图2
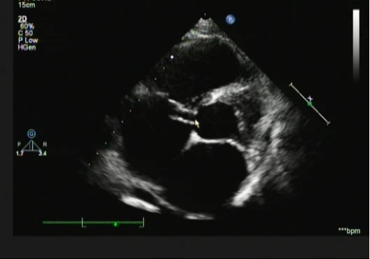
“?,这个结果……”,体型微胖但血压正常可解释不了全心增大,而右房占位或许能导致三尖瓣的偏心性返流,但高速且连续性血流频谱如何而来的呢?继续追问,患者于半个月前曾有发热病史,那么,重新仔细探查右房中的异常,我看到了--(图3、图4)

图3 图4
原来是主动脉窦瘤破裂入右房并考虑无冠窦赘生物形成。
那么主动脉窦瘤破裂又是什么呢?
主动脉窦瘤破裂是一种较少见的心血管病变。1837年,Hope首先在临床上观察到一例25岁青年主动脉窦瘤破入右心室。大多数主动脉窦瘤系先天性畸形,仅极少数为后天性病因所致,如继发于感染性心内膜炎、梅毒、马房综合征、动脉硬化、外伤、主动脉夹层动脉瘤和白寒病等。
主动脉窦动脉瘤破裂前一般无症状。破裂多发生在20~67岁之间,男性多见。约40%有突发心前区疼痛史,常于剧烈活动时发生,随即出现心悸、气急,可迅速恶化,发病后数日即可死于右心衰竭。较多的患者破口较小,起病后可有数周、数月或数年的缓解期,劳累后气急、心悸、乏力等逐渐加重,以致丧失活动能力。
窦瘤破裂时,主动脉内的压力往往高于其所破入的心腔的压力,故将出现主动脉破入心腔方向的分流,分流量的大小取决于破口大小,破裂部位等,将直接影响血流动力学的改变。破入右室流出道致肺循环血量增加,左房、左室容量负荷加重。破入右房,右心容量负荷加重,可导致急性右心衰。当破入心包,可立即造成心脏压塞,导致猝死。
右冠窦瘤占所有窦瘤患者的63.6%-87.9%。当破入右室流出道时,右冠窦明显扩大,向右室流出道膨出,呈囊袋状,囊袋通常较大,可观察到窦瘤的破口,主动脉内径增宽,主动脉前壁回声中段,全心腔扩大,以左心房、左心室为著,室间隔与左室后壁运动增强。
无冠窦瘤占所有窦瘤患者的5%-15%。往往破入右房或右室。窦瘤破入右房,无冠窦明显扩大,向右房侧膨出,呈乳头状或指状,囊体常位于三尖瓣隔瓣下方,囊袋通常较小,右心房和右心室明显扩大。
破入右心室的主动脉窦动脉瘤,在胸骨左缘第3、4肋间扪到震颤和听到粗糙Ⅳ级连续性杂音,向心尖传导;破入右心房者震颤和杂音则偏向胸骨正中或右缘。可有周围血管体征如脉压增宽、水冲脉、枪击声等,并可有肝肿大等右心衰竭体征。心电图电轴左偏、左心室高压、肥大或左右心室肥大。 x线检查:心影增大、肺动脉段突出、肺门充血、肺纹增深。
本病诊断主要依据二维和多普勒超声心动图,对窦瘤破裂的高速湍流尽量选择可能小的彩色显示窗口,调节尼奎斯特频率使色彩倒错减轻,以仔细辨认穿过瘤壁的分流束。还应密切注意有无室间隔缺损、主动脉瓣关闭不全、右室流出道狭窄等合并畸形。
作者:河北省秦皇岛市第一医院超声诊断一科 薛坤
专业审核:《健康河南》编辑部
编辑:门靖狄
校对:张红改
终审:高 明
《健康河南》是河南省卫生健康委员会与河南省广播电视台联合创办的专业卫生健康类节目。